
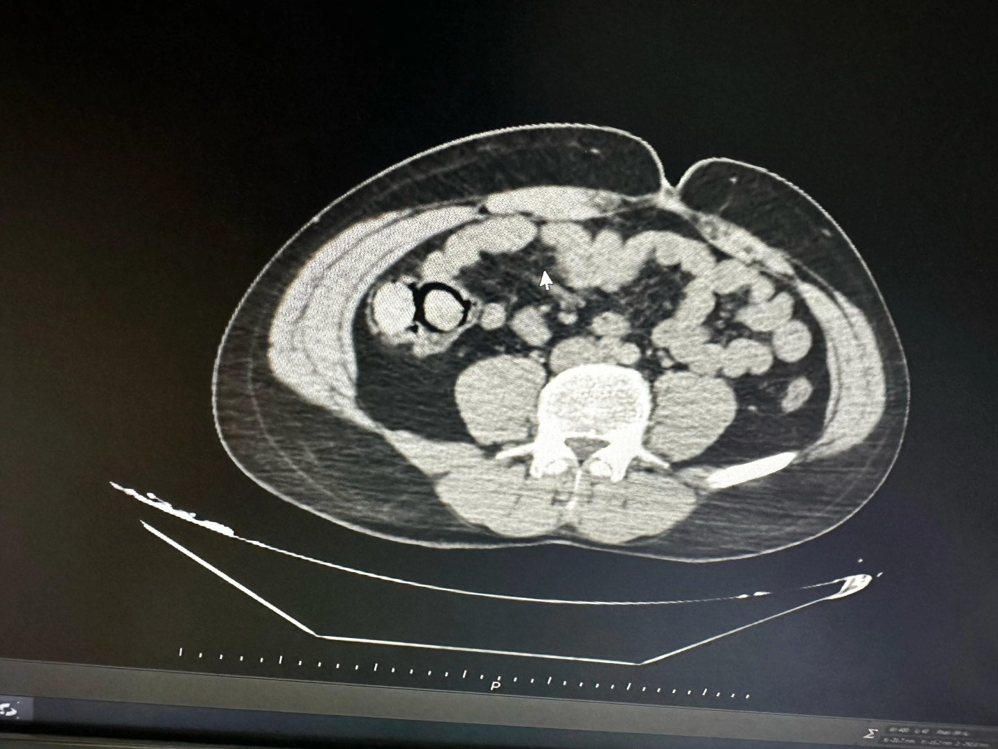
Aziz ÖNAL/ BİNGÖL, (DHA)- BİNGÖL’de polis ekiplerince düzenlenen uyuşturucu operasyonunda midelerinde 10 parça halinde 113 gram metamfetamin tespit edilen 2 şüpheli, tutuklandı. İl Emniyet Müdürlüğü Narkotik Suçlarla Mücadele Şube Müdürlüğü ekipleri tarafından gerçekleştirilen operasyonda, uyuşturucu ticareti yapmak üzere kente otobüsle geldiği bilgisine ulaşılan 2 şüpheli gözaltına alındı. Şüphelilerin hastanede yapılan muayenelerinde, midelerinde toplamda 10 parça halinde 113 gram metamfetamin maddesi ele geçirildi. Şüphelilerin midelerindeki uyuşturucu paketleri, hastanede yapılan işlemle çıkarıldı. Emniyetteki işlemlerinin ardından adliyeye sevk edilen şüpheliler, sevk edildikleri adliyede çıkarıldıkları mahkemece tutuklanarak cezaevine gönderildi.(DHA)